Способы регистрации обращений клиентов

Наиболее предпочтительным для пользователей и наиболее быстрым способом регистрации обращений является телефонная связь, рассмотрим 2 метода организации приема и маршрутизации обращений, поступающих посредством телефонных звонков.

Суть первого метода заключается в регистрации и разрешении 70% обращений без маршрутизации (эскалации) на вторую линию, при обеспечении максимальной доступности операторов и полноты информации, необходимой для обработки обращений на второй линии.

Для реализации данного метода необходимо наличие на первой линии высококвалифицированных специалистов, способных разрешать поступающие обращения с высокой скоростью. Для определения необходимого количества операторов первой линии применялись расчеты методом Эрланга (данный метод позволяет определить количество операторов с учетом пиковых нагрузок).

Читать далее

Как подготовиться к Data Science интервью

Data Science интервью — непростая задача. Существует значительная неопределённость в отношении вопросов. Независимо от того, какой у вас опыт работы или какой у вас диплом об образовании, интервьюер может задать вам ряд вопросов, которые вы не ожидаете. Во время Data Science интервью интервьюер будет задавать технические вопросы по широкому кругу тем, требуя от интервьюируемого как сильных знаний, так и хороших коммуникативных навыков.

В этой заметке я хотел бы поговорить о том, как подготовиться к собеседованию по машинному обучению. Разберем категории вопросов, поделюсь ссылками с вопросами и ответами на часто задаваемые вопросы.

Категории вопросов

Традиционно Data Science интервью включает следующие категории вопросов:

  • Статистика
  • Алгоритмы машинного обучения
  • Навыки программирования, алгоритмы и структуры данных
  • Знание предметной области
  • Проектирование систем машинного обучения
  • Поведенческое интервью
  • Соответствие культуре
  • Решение проблем

Читать далее

Простые шаги сделать ваш Python код лучше

У многих из вас есть GIT- репозитории с кодом, в этой заметке я расскажу как сделать ваш Python код лучше.

В качестве примера я буду использовать этот репозиторий: https://github.com/Aykhan-sh/pandaseda

Форкнем его и попробуем сделать код лучше.

Улучшим читаемость кода

Улучшить читаемость вашего кода очень просто. Мы будем использовать библиотеки для синтаксического форматирования и проверки.

Для начала создадим в репозитории файлы конфигураций для flake8, mypy и black

Читать далее

BentoML — быстрый Machine Learning прототип

В заметке я расскажу как в 50 строчек Python кода создать рабочий прототип веб приложения с рабочей моделью машинного обучения. Представьте, что у вас есть классная идея проекта. Теперь нужно реализовать MVP (minimum viable product) и показать его менеджеру/партнеру/ инвестору или просто похвастаться перед друзьями.

Мы будем использовать BentoML. Это гибкая высокопроизводительная платформа, которая идеально подходит для создания MVP.

Возможности BentoML:

  • поддерживает несколько фреймворков машинного обучения, включая Tensorflow, PyTorch, Keras, XGBoost и другие.
  • собственное облачное развертывание с Docker, Kubernetes, AWS, Azure и многими другими
  • высокопроизводительное онлайн-обслуживание через API
  • веб-панели мониторинга и API для управления реестром моделей и развертыванием

Читать далее

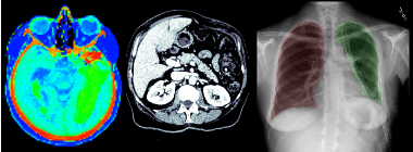
Курс — анализ медицинских изображений в Python

Анализ медицинских изображений в Python
Анализ медицинских изображений в Python

Область медицинской визуализации стала очень популярной в последние годы, но для новичков даже загрузка данных может быть проблемой. Поэтому я сделал курс, где вы изучите основы анализа медицинских изображений с помощью Python. Вы будете изучать КТ и рентген снимки, сегментировать области изображения и проводить анализ метаданных. Даже если вы никогда раньше не работали с медицинскими изображениями, то по завершению курса вы будете обладать всеми необходимы навыками.

Читать далее